Case Report Information
- Case Report by Dr. Elias Abou Tayeh Aesthetic and Restorative Dentist with diploma in oral biology, implantology, TMJ and
occlusion. - Case Report Planning: Mockup Trials and Interdisciplinary Treatment Patient Information
• Age: 43
• Gender: Female
• Chief Complaint: Gummy Smile and Old Crowns
• Initial Diagnosis: Excessive Gummy Smile and Discolored old crowns
• Treatment Goals: Digital Guided Crown Lengthening and Full Upper Ceramic Rehabilitation
Treatment Plan Overview
Objective:
The primary objective of this treatment was to improve the patient's smile by addressing a pronounced gummy smile and restoring the correct proportions of the teeth by removing old crowns and replace them with new ceramic crown that are made based on a digital smile design. The treatment aimed to create a more balanced, natural-looking, and harmonious appearance that aligned with the patient’s facial features. This goal was achieved through a multidisciplinary strategy combining digital smile design, periodontal correction, and prosthodontic restoration. Leveraging AI-driven designing and treatment planning tools and advanced digital and clinical techniques, the approach focused on enhancing esthetics and function while maintaining a conservative and patient-focused methodology.
Interdisciplinary Approach:
This case necessitated the integration of several dental specialties working together in a coordinated workflow. Periodontics was central to correcting gingival levels and establishing symmetry. Prosthodontics focused on crafting and placing the final ceramic restorations that matched the desired esthetic outcome. The use of AI-powered software, SmileFy, was pivotal in diagnosing, designing, and aligning the treatment phases across disciplines. The collaboration ensured precision and efficiency throughout the process.
Steps Overview:
1. Diagnostic and Smile Design Planning
2. Mockup Trial and Visualization
3. Collaborative Interdisciplinary Workflow
4. Execution of Final Restorations
Step-by-Step Process:
Step 1: Diagnostic Assessment and Smile Design The treatment began with a comprehensive evaluation of the patient’s smile using facially guided diagnostics. The Facial Flow Concept was employed to assess the relationship between the patient's facial structure, lips, smile arc, and gingival display. SmileFy software was utilized to generate a 2D digital smile simulation.
This visualization allowed both the clinical team and the patient to preview the planned esthetic outcome. It also provided a platform for mutual understanding and expectation management, forming a blueprint for all subsequent steps.
Step 2: Mockup Trial
Once the digital design was approved, a physical mockup was created using resin for 3Dprinted materials. This mockup served as a test-drive for the proposed outcome, enabling real-time evaluation of the smile design in terms of esthetics, speech, and occlusion. The mockup was fitted in the clinic and reviewed from multiple angles, with special attention given to the patient’s reaction and comfort. Adjustments were made accordingly, allowing for refinements before any irreversible procedures were performed.




Step 3: Interdisciplinary Treatment Planning
Following mockup approval, the clinical team proceeded with a detailed treatment plan
involving both surgical and restorative phases. The periodontist performed gingival recontouring to reduce the gummy smile and define ideal gingival margins. Diagnostic wax-ups and CBCT scans were essential tools in guiding this stage, helping to visualize bone levels, tooth proportions, and soft tissue behavior. A surgical guide was fabricated in this stage to showcase the amount of gum that will be removed to reach the digital smile design phase
Step 4: Execution of the Final Restorative Plan
The final stage involved tooth preparation and the placement of definitive ceramic restorations. Using SmileFy digital smile design, the restorations were designed to replicate the previously approved mockup and accommodate the new gingival
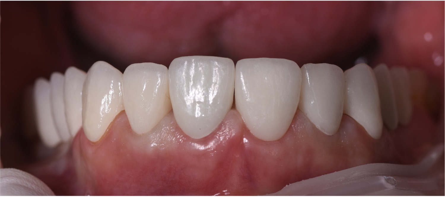
architecture. These restorations were fabricated with high precision, ensuring excellent fit, esthetics, and durability. The bonding procedure was carried out with attention to Figure 19: 3D Printed Surgical Guide Try In Figure 20: Close Up Difference between 3D Printed Mockup and Initial Teeth Figure 21: During digital crown lengthening Figure 22: Post Op Intraoral Picture detail, followed by polishing to achieve a natural and vibrant finish. The completed smile
was assessed for functionality, esthetics, and the patient’s satisfaction.
Final Outcome
The outcome of the treatment was a significant transformation in the patient's smile. The excessive gingival display was successfully reduced, and the teeth were restored to natural proportions, resulting in a more confident and attractive appearance. The patient expressed a high level of satisfaction and comfort with the result. Final photographs showed harmonious integration between teeth, gums, and facial esthetics. The patient received comprehensive instructions on hygiene and maintenance to ensure the longevity of the results.
Book a session with us to learn how to use SmileFy like a pro!
Case Reflection and Insights
Challenges and Solutions
The case presented several challenges, particularly in achieving the correct balance
between soft tissue recontouring and restorative space. Maintaining the biologic width during gingival correction was critical to avoid complications and preserve long-term periodontal health. Ensuring that the final restorations matched the digital mockup in both form and shade required close coordination between the design and lab teams. These
challenges were addressed through meticulous planning and the precision offered by
digital tools.
Role of Technology
Digital technology, especially the digital smile design features from Smilefy, played a
transformative role in planning and communication. These tools provided a visual representation of the proposed outcome, making it easier for the patient to understand the
process and for the team to stay aligned. The ability to simulate, modify, and transfer the Figure 25: Final Result close up Figure 24: Pre op, Digital Smile Design, 3D printed Mockup and post op comparison design to both mockup and final restoration stages significantly improved workflow efficiency and outcome predictability
Key Takeaways
This case demonstrates the value of a holistic, interdisciplinary approach in cosmetic dentistry. Combining digital innovation with skilled clinical execution led to a successful outcome that addressed both functional and esthetic concerns. The use of mockups gave the patient control and clarity over the treatment process, fostering trust and satisfaction. This model can be applied to similar cases, highlighting how collaboration and technology are reshaping modern dental care.